【医者手记】为何持续高热不退?原来是“鹦鹉热”在作怪
进入冬季,正是流感等上呼吸道感染的高发季节,除了常见的细菌、病毒感染,还有很多特殊类型的感染也需要引起大家的注意,注意鉴别,及时处理。
近日,中西医结合肝病科收治一位特殊的乙肝肝硬化患者。患者既往有乙肝肝硬化病史多年,入院4天前出现发热症状,口服“感冒药”后症状无缓解。入院后经积极完善各项检查,发现双肺多发感染性病变,双侧胸腔积液,同时也伴有肝功能的损害以及胸腹水的出现,初步诊断患者为“肺部感染、乙肝肝硬化失代偿期”。
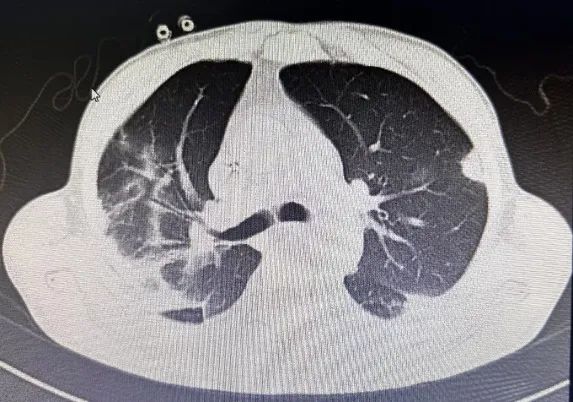
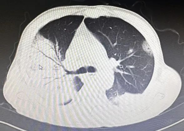
经积极抗感染治疗,患者仍持续处于稽留热,体温最高达39.8℃,并逐渐出现胸闷、气短症状伴有咳嗽、咳痰。右肺中下叶可闻及少量散在湿啰音及胸膜摩擦音。感染指标持续上升,复查肺部CT提示:双肺多发感染性病变,较前进展。


那么患者肺部感染的原因到底是什么呢?经验性的抗细菌、抗病毒治疗已经可以覆盖大部分的常见病原体,多次行血培养、呼吸道病毒的相关检测都没有发现致病元凶。患者此时也出现了血氧饱和度下降等Ⅰ型呼吸衰竭症状,即刻给予对症治疗。
调整治疗后,患者病情仍未见好转并逐步恶化,遂转入ICU继续治疗。在我院ICU予以无创呼吸机通气,为了明确病因,行支气管镜检查取样成功,结果显示:鹦鹉热衣原体。结合血常规、CRP和胸部CT检查以及他饲养鸟类动物病史,此时就明确了,原来患者这次是鹦鹉热衣原体引起的肺部感染——俗称“鹦鹉热”。

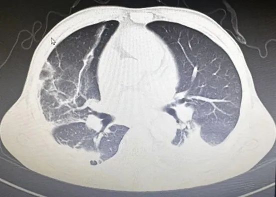
经过治疗,目前患者咳嗽、咳痰等症状已消失,肺部查体未见异常征象,复查患者肺部影像学及炎症指标明显好转,于近日出院。


该患者既往有肝硬化,基础病较重,免疫功能弱,导致发病后病情迅速发展至重症肺炎,正是及时的病原诊断及综合治疗才能在短时间内控制病情,未出现进一步的恶化,患者、家属及医护都深感欣慰。发热待查正是对医院、科室感染病诊断能力、病原学检测能力以及医院多学科综合诊治及感控管理水平的检测,今后我们将不断提高诊治能力和水平,让患者最大程度获益。

是一种由鹦鹉热衣原体( Chlamydia psittaci,Cps)引起的人畜共患病,通过接触受Cps感染的鸟类或禽类的尿液、粪便或其他排泄物污染的气溶胶而感染。
该病Cps感染患者病死率约1%,但未及时治疗的重症患者病死率可达15%~20%。
典型的临床症状为高热、咳嗽、呼吸困难、疲乏、畏寒、头痛及肌肉酸痛等,器官损害以重度急性呼吸窘迫综合征(ARDS)及休克为主要表现,少部分患者病情进展迅速,可引发多器官或系统表现。呼吸系统常表现为干咳,较早出现肺部实变体征,也可出现肺部啰音。
重症鹦鹉热患者可于短期内出现呼吸衰竭和ARDS等呼吸系统症状。胸部CT检查以炎性病变始于单侧肺下叶多见,加重后累及双侧肺叶,上下肺均可受累,可合并有小片状的磨玻璃影、结节影、实变影和小叶间隔增厚,以胸膜下分布为主,常见“支气管充气征”、“细网格征”,可见“晕征”,常伴有胸腔积液,可伴有肺门及纵隔淋巴结肿大。治疗上常用的Cps抗菌药物包括四环素类、新型四环素类衍生物、大环内酯类和氟喹诺酮类等药物。
鹦鹉热作为一种由Cps感染引起的人畜共患病,其预防措施仍以管理传染源(选择正规的、经过检疫的场所购买鸟类或禽类、对鸟、禽类定期检疫)、切断传播途径(避免或减少在密闭环境内与鸟、禽类接触;对饲养环境进行定期清洁和消毒、接触鸟类或禽类时,应注意个人防护)和保护易感人群(免疫功能较弱的人群减少与鸟类及禽类的接触、高危人群发现疑似鹦鹉热症状应立即就医、加强宣教有关鹦鹉热防治的知识,以提高人们的防范意识和预防的能力)入手。
