【医疗技术】精准除顽疾 无痛护安康——兰州市二院肛肠科实现复杂性肛瘘诊疗技术体系新突破
近期,一位饱受疾病折磨三年的患者,在兰州市第二人民医院肛肠科终于迎来了康复的曙光。43岁吴先生(化名)因复杂性高位肛瘘,曾辗转多家医院、历经三次手术均告失败,身心承受巨大痛苦。最终,我院肛肠科通过一套集 “精准影像诊断”、“功能保护性手术”与“全程无痛管理” 于一体的全新诊疗体系,顽疾得以根除,且康复过程平稳舒适。这个成功案例并非偶然,它标志着市二院肛肠科在复杂性肛瘘这一临床难题的攻克上,已构建起一套成熟的技术解决方案,实现了从传统经验性治疗向现代精准化、舒适化医疗的实质性跨越。
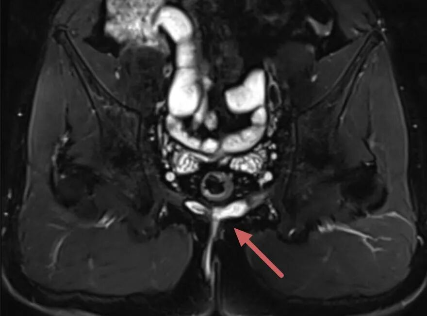
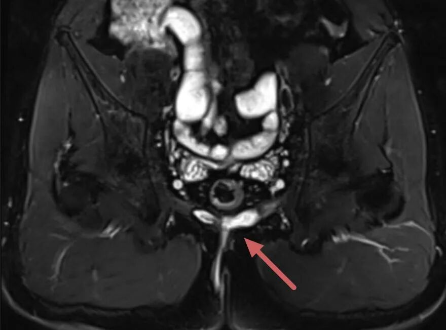
精准诊断:构建手术的“高清导航地图” 复杂性肛瘘治疗的最大难点在于瘘管走向复杂、位置深,传统检查难以看清全貌,如同在迷雾中手术,极易导致治疗不彻底或损伤肛门功能。我院肛肠科的技术突破,始于诊断环节的革新,采用 “双影像精准定位”技术,为每位复杂肛瘘患者定制手术蓝图: ·盆腔磁共振成像(MRI):已成为评估复杂性肛瘘的金标准。我院影像科与肛肠科紧密协作,针对肛瘘特点优化扫描序列。能三维立体显示瘘管的主干、分支、内口(感染源头)及其与肛门控便肌肉群的精确关系。这是制定安全、有效手术方案的基石。 · 肛周超声:则像灵活的“实时雷达”,可在术前或术中动态观察,对关键部位进行精确定位,与MRI形成完美互补。 “MRI+超声”的融合诊断模式, 为外科医生构建了覆盖术前全局规划与术中实时调整的“双保险”导航系统,确保了手术靶向的绝对精准,从源头奠定了成功的基础。 术式革新:在根治与功能保护间找到完美平衡 基于精准的影像诊断,针对吴先生这种复杂病例,肛肠科团队成功实施了“分段开窗旷置术”结合“括约肌间切开并保留括约肌挂线术”的复合术式。肛肠科刘安乐副主任医师介绍,该手术方案通过术前精准影像定位,术中先对瘘管复杂分支进行分段开窗引流,清除坏死组织,再对主瘘管采用保留括约肌挂线术,利用挂线的慢性切割作用,避免一次性切断括约肌导致肛门失禁,同时促进创面愈合。这种术式既解决了复杂瘘管引流不畅的问题,又最大程度保护了肛门括约肌功能,从根源上降低复发风险。 无痛病房建设:让康复之路温暖而从容 技术的突破不仅体现在手术室,更贯穿于围手术期的全程。市二院肛肠科着力打造的“无痛病房”是现代快速康复外科(ERAS)理念的生动实践,旨在彻底改变患者对肛肠手术“剧痛难忍”的传统恐惧。 为吴先生建立的多模式镇痛体系是一套预防性、个体化、多途径的镇痛方案: *术前预防镇痛:在手术开始前,通过疼痛教育、心理疏导联合超前镇痛药物,降低中枢神经敏感度,从源头上减轻术后疼痛。 * 术中长效麻醉:术中在手术创面区域进行药物性神经阻滞术,使术后创面无痛化持续时间达到一周以上。 *中医技术赋能:穴位贴敷、中药栓剂纳肛、肛门中药熏洗坐浴、红光照射等物理疗法,明显缓解疼痛,促进创面愈合。 在本病例中,患者术后疼痛VAS评分始终控制在3分(轻度疼痛)以下,确保了其良好的睡眠、饮食与早期下床活动。舒适的体验直接促进了康复。患者能够配合每日必要的坐浴和换药,营养摄入充足,循环呼吸功能良好,伤口在最佳状态下愈合,形成了“镇痛佳→恢复快→痛苦少”的良性循环。经过一个多月的悉心治疗与护理,张先生的创面完全愈合,肛门功能恢复正常,近期复查未发现任何复发迹象。 肛肠科通过此例多次复发的复杂性高位肛瘘的成功治愈,系统性地展示了科室在 “精准诊疗体系”与 “舒适医疗体系” 建设上的双重突破。我们将继续以此为契机,深耕肛肠疾病领域,特别是疑难复杂性肛瘘的诊疗,以更精准的刀、更温暖的术、更无痛的康复,守护每一位患者的健康与尊严。


