您的位置: 首页特色诊疗详情

【新业务新技术】兰州市第二人民医院功能检查科成功开展经食道超声心动图诊断

发布时间:2025-06-24 08:14本文出处:

  

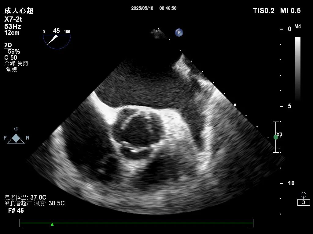
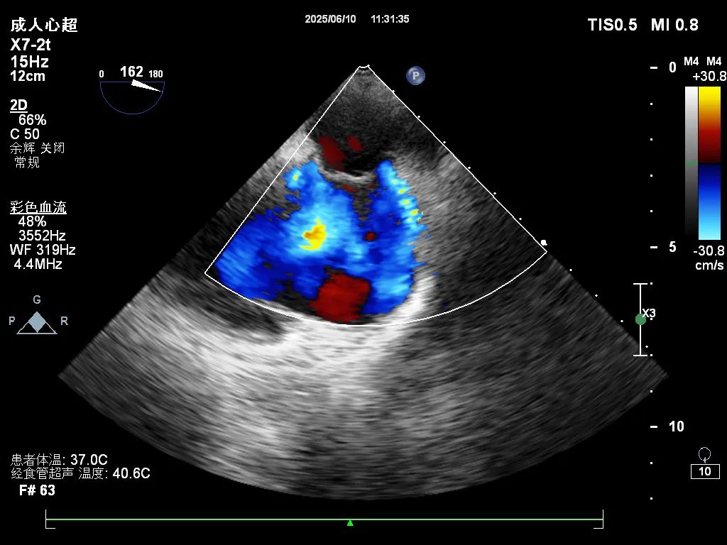
        近日,我院功能检查科成功开展经食道超声心动图(TEE)检查新技术,进一步提升了我院心血管疾病的诊断水平。

640 (4).jpg640 (5).jpg

       经食道超声克服了传统经胸超声的局限性,通过食道从后方近距离探查心脏,显著提高了心房、房间隔及心脏瓣膜的图像分辨率,尤其适用于各类心脏瓣膜病、先天性心脏病、心耳内血栓及感染性心内膜炎等疾病的精细诊断,为手术方案的制定和术后评估提供了重要依据。

640 (6).jpg

       此项技术由王鹏医生率先开展,他曾赴北京安贞医院专项进修经食道心血管超声技术,积累了丰富的操作与诊断经验。目前,该技术已顺利应用于多名房颤及可疑卵圆孔未闭患者,检查过程安全、结果精准,受到临床医生和患者的一致好评。

       科室将以此次新技术开展为契机,不断拓展业务领域,助力医院高质量发展,为百姓健康保驾护航。