兰州市第二人民医院神经内科成功为一患者成功实施椎动脉支架植入术
我国第三次国民死因调查结果表明,卒中已成为我国城乡居民的第一位致残和死亡原因。其具有高致死率、高致残率、高复发率,严重威胁我国人民生命和健康,同时给家庭和社会带来沉重的经济负担。缺血性脑血管病是最常见的卒中类型,占全部卒中的60%-80%。缺血性脑血管病包括短暂性脑缺血发作和脑梗死,动脉粥样硬化是其最主要的病因,常见诱因有高血压、糖尿病和血脂异常等。
近日,我院神经内科收治一名急性起病、发作性眩晕、行走不稳患者,值班医生判断患者极有可能是后循环缺血,可能存在椎基底动脉狭窄,值班医生立即通知上级医生,核磁未见急性损伤,立即予以双重联合抗血小板聚集及强化他汀治疗,与患者及家属详细、反复沟通,行全脑血管造影手术检查。

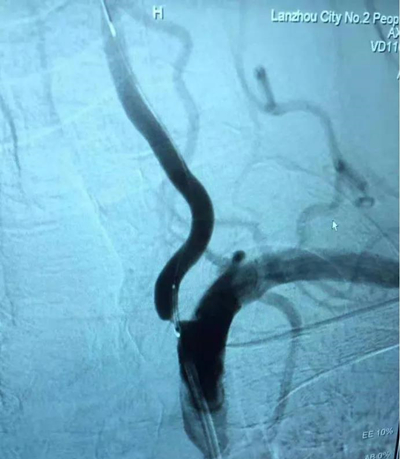
术前:左侧椎动脉起始部重度狭窄

术后:左侧椎动脉血管形态基本恢复生理状态
造影结果显示患者存在后循环缺血,罪魁祸首就是椎基底动脉狭窄,雪上加霜的是患者右侧椎动脉PICA远未见显影,只有左侧椎动脉供应基底动脉血运。颅内外动脉狭窄为缺血性脑血管病重要因素,多由动脉粥样硬化所致,如果不能及时处理,将可能产生灾难性后果。冉茂胜主任医师、刘玉虎主治医师反复斟酌、推演,为切实保障患者生命安全,最大程度降低患者卒中风险,在充分与家属沟通后,最终拟定充分强化药物治疗后行左侧椎动脉支架植入术。经积极充分术前准备行左侧椎动脉起始部重度狭窄球囊扩张、支架植入术,手术过程顺利。
支架术后,患者症状明显改善,术后随访患者上述症状再未发作。20世纪80年代,介入治疗开始应用于神经系统疾病,20多年神经介入的飞速发展为缺血性脑血管病患者带来了新的希望,兰州市二院神经内科在院领导关怀下,始终秉持救死扶伤、生命至上的理念,开拓创新,锐意进取,防治卒中,我们始终在路上。

